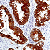
Cytokeratin 18 (CK18) is intermediate filament phosphoglycoprotein that is expressed in simple and glandular and transitional epithelial cells but not in stratified epithelial cells. CK18 is often co-expressed with CK8. CK8 & CK18 is the major keratin pair in simple-type epithelia. Adenocarcinomas originated from simple and glandular epithelium showed CK18 positive staining. In squamous carcinoma, poorly differentiated tumor cells show CK18 reactivity. Loss of CK18 expression is associated with progression of breast carcinoma.
Cytokeratin 18 (CK18) is intermediate filament phosphoglycoprotein that is expressed in simple and glandular and transitional epithelial cells but not in stratified epithelial cells. CK18 is often co-expressed with CK8. CK8 & CK18 is the major keratin pair in simple-type epithelia. Adenocarcinomas originated from simple and glandular epithelium showed CK18 positive staining. In squamous carcinoma, poorly differentiated tumor cells show CK18 reactivity. Loss of CK18 expression is associated with progression of breast carcinoma.
Cytokeratin 18 (CK18) is intermediate filament phosphoglycoprotein that is expressed in simple and glandular and transitional epithelial cells but not in stratified epithelial cells. CK18 is often co-expressed with CK8. CK8 & CK18 is the major keratin pair in simple-type epithelia. Adenocarcinomas originated from simple and glandular epithelium showed CK18 positive staining. In squamous carcinoma, poorly differentiated tumor cells show CK18 reactivity. Loss of CK18 expression is associated with progression of breast carcinoma.