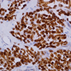
Rhabdomyosarcomas (RMS) are the most frequent malignant soft tissue neoplasms of childhood. While better differentiated RMS have cross-striations or rhabdomyoblasts that allow for a confident morphologic diagnosis, less differentiated RMS resemble other small blue round-cell tumors. MyoD1, one of the MyoD family of myogenic helix-loop-helix transcription factors, combined with myogenin, plays a role in coordinating the myogenic differentiation pathway from the determination of mesodermal precursors into myoblasts, the differentiation of myoblasts into myotubes, and finally the maturation of myotubes into skeletal myofibers. Normal mature skeletal muscle does not express MyoD1 protein. MyoD1 is expressed in myoblasts before differentiation while myogenin has post-differentiation functions. Anti-MyoD1 immunostaining identifies cells committed to myogenesis in their earliest phase, thus, it is a better biomarker for less differentiated RMS. Studies suggest, anti-MyoD1 may be used together with anti-myogenin and anti-desmin as a panel of markers since any RMS is virtually never negative for all three markers simultaneously.
Rhabdomyosarcomas (RMS) are the most frequent malignant soft tissue neoplasms of childhood. While better differentiated RMS have cross-striations or rhabdomyoblasts that allow for a confident morphologic diagnosis, less differentiated RMS resemble other small blue round-cell tumors. MyoD1, one of the MyoD family of myogenic helix-loop-helix transcription factors, combined with myogenin, plays a role in coordinating the myogenic differentiation pathway from the determination of mesodermal precursors into myoblasts, the differentiation of myoblasts into myotubes, and finally the maturation of myotubes into skeletal myofibers. Normal mature skeletal muscle does not express MyoD1 protein. MyoD1 is expressed in myoblasts before differentiation while myogenin has post-differentiation functions. Anti-MyoD1 immunostaining identifies cells committed to myogenesis in their earliest phase, thus, it is a better biomarker for less differentiated RMS. Studies suggest, anti-MyoD1 may be used together with anti-myogenin and anti-desmin as a panel of markers since any RMS is virtually never negative for all three markers simultaneously.
http://www.cellmarque.com/Cell Marque
Rhabdomyosarcomas (RMS) are the most frequent malignant soft tissue neoplasms of childhood. While better differentiated RMS have cross-striations or rhabdomyoblasts that allow for a confident morphologic diagnosis, less differentiated RMS resemble other small blue round-cell tumors. MyoD1, one of the MyoD family of myogenic helix-loop-helix transcription factors, combined with myogenin, plays a role in coordinating the myogenic differentiation pathway from the determination of mesodermal precursors into myoblasts, the differentiation of myoblasts into myotubes, and finally the maturation of myotubes into skeletal myofibers. Normal mature skeletal muscle does not express MyoD1 protein. MyoD1 is expressed in myoblasts before differentiation while myogenin has post-differentiation functions. Anti-MyoD1 immunostaining identifies cells committed to myogenesis in their earliest phase, thus, it is a better biomarker for less differentiated RMS. Studies suggest, anti-MyoD1 may be used together with anti-myogenin and anti-desmin as a panel of markers since any RMS is virtually never negative for all three markers simultaneously.