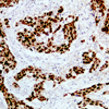
SOX9, known as sex determining region Y (SRY)-related high mobility group (HMG)-box 9, is an important transcription factor required for development. As a transcriptional regulator, SOX9 is an important downstream gene of _-Catenin. It is expressed during embryogenesis, in the cartilage, neural crest, kidney, and pancreas. SOX9 is also involved in the regulation of sex determination and progenitor cell pool maintenance, required for committed differentiation. In normal colorectal mucosa, SOX9 expression is found predominantly to the lower part of crypts, the proliferative compartment and putative site of stem cells, suggesting SOX9 as a putative stem or progenitor cell biomarker.
Recent studies have indicated the overexpression of SOX9 in solid tumors. Compared to normal tissues, immunohistochemical analysis revealed staining that is more intense and widespread staining in many cancer types, including but not limited to, gastric carcinoma, non-small cell lung cancer (NSCLC), lung adenocarcinoma, prostate cancer, breast carcinoma, pancreatic ductal adenocarcinoma, glioma, colorectal cancer, hepatocellular carcinoma (HCC) and ovarian cancer. Amplification of 17q24.3, the chromosomal region of SOX9 has been found in prostate, neuroblastoma, medulloblastoma, breast and ovarian cancer, which all exhibit high SOX9 expression. Although staining is predominantly nuclear, cytoplasmic SOX9 may serve as a valuable prognostic marker for invasive ductal carcinomas and metastatic breast cancer. Further, SOX9 upregulation has been associated with higher tumor stage and grade, and overexpression have been recognized as an independent prognostic marker for decreased survival in NSCLC and HCC patients.
Literature:
Manufacturer site:
SOX9 (EP317)
Rabbit Monoclonal
SOX9, known as sex determining region Y (SRY)-related high mobility group (HMG)-box 9, is an important transcription factor required for development. As a transcriptional regulator, SOX9 is an important downstream gene of _-Catenin. It is expressed during embryogenesis, in the cartilage, neural crest, kidney, and pancreas. SOX9 is also involved in the regulation of sex determination and progenitor cell pool maintenance, required for committed differentiation. In normal colorectal mucosa, SOX9 expression is found predominantly to the lower part of crypts, the proliferative compartment and putative site of stem cells, suggesting SOX9 as a putative stem or progenitor cell biomarker.
Recent studies have indicated the overexpression of SOX9 in solid tumors. Compared to normal tissues, immunohistochemical analysis revealed staining that is more intense and widespread staining in many cancer types, including but not limited to, gastric carcinoma, non-small cell lung cancer (NSCLC), lung adenocarcinoma, prostate cancer, breast carcinoma, pancreatic ductal adenocarcinoma, glioma, colorectal cancer, hepatocellular carcinoma (HCC) and ovarian cancer. Amplification of 17q24.3, the chromosomal region of SOX9 has been found in prostate, neuroblastoma, medulloblastoma, breast and ovarian cancer, which all exhibit high SOX9 expression. Although staining is predominantly nuclear, cytoplasmic SOX9 may serve as a valuable prognostic marker for invasive ductal carcinomas and metastatic breast cancer. Further, SOX9 upregulation has been associated with higher tumor stage and grade, and overexpression have been recognized as an independent prognostic marker for decreased survival in NSCLC and HCC patients.
Rabbit Monoclonal
SOX9, known as sex determining region Y (SRY)-related high mobility group (HMG)-box 9, is an important transcription factor required for development. As a transcriptional regulator, SOX9 is an important downstream gene of _-Catenin. It is expressed during embryogenesis, in the cartilage, neural crest, kidney, and pancreas. SOX9 is also involved in the regulation of sex determination and progenitor cell pool maintenance, required for committed differentiation. In normal colorectal mucosa, SOX9 expression is found predominantly to the lower part of crypts, the proliferative compartment and putative site of stem cells, suggesting SOX9 as a putative stem or progenitor cell biomarker.
Recent studies have indicated the overexpression of SOX9 in solid tumors. Compared to normal tissues, immunohistochemical analysis revealed staining that is more intense and widespread staining in many cancer types, including but not limited to, gastric carcinoma, non-small cell lung cancer (NSCLC), lung adenocarcinoma, prostate cancer, breast carcinoma, pancreatic ductal adenocarcinoma, glioma, colorectal cancer, hepatocellular carcinoma (HCC) and ovarian cancer. Amplification of 17q24.3, the chromosomal region of SOX9 has been found in prostate, neuroblastoma, medulloblastoma, breast and ovarian cancer, which all exhibit high SOX9 expression. Although staining is predominantly nuclear, cytoplasmic SOX9 may serve as a valuable prognostic marker for invasive ductal carcinomas and metastatic breast cancer. Further, SOX9 upregulation has been associated with higher tumor stage and grade, and overexpression have been recognized as an independent prognostic marker for decreased survival in NSCLC and HCC patients.